久びさに息子を六甲アイランドの阿部整形外科に連れて行きました。
骨折した足の小指のチェックです。
見た目にも機能的にも、もう全く異常は無し。
いつまで安静にしてなくちゃいけなかったのかも忘れちゃいました。
レントゲンを撮ったらこんな具合。

左が骨折してまだ整復(元にもどす事)する前、8月31日の写真、
右が今日撮った写真、治してから2ヶ月ちょっと経った写真です。
ちゃんと治ってます。
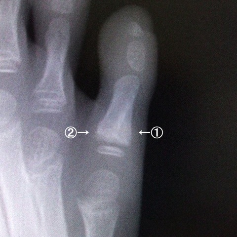
今日の写真を拡大してみると

①の少し色の薄い三角形の所が新しくできている骨。
それにつれて②の部分がどんどん吸収されていってます。
こうして自然に骨が元の状態にもどっていっていくらしい。
よくできてます。
この骨折、整形外科的にはハリスⅡ型と言うらしい。
『成長板骨折のSalter-Harris分類』というところに詳しい説明が書いてあります。
いやー、整形外科の勉強なんて久しぶりにしました。
それによると、このHarris Ⅱ型の骨折は最も多いタイプで、
通常は非観血的な治療(手術せずにグイッと戻すだけ)で十分らしい。
将来的な骨成長の障害は心配しないでいいらしい。
阿部先生の説明どおりでした。
安心しました。
今度は半年後ぐらいに連れて行きます。
またレントゲン写真を撮ってもらえるのかな?
変化を見れるのって何だか楽しいな。
人間の体ってオモシロイな。











